FOGSZABÁLYOZÁS:


1172, Bp.,
Ferihegyi út 31.

Tel.:258-59-99


1027. Bp.
Kapás u. 31, Cakó Klinika

Tel: 0670 2053373

1172, Bp.,
Abaliget u. 19.

Tel.:257-74-82

Dr. Topa Orsolya - Fogszabályozó szakorvos

A szépséghez, az arc harmóniájához a rendezett, szabályosan elhelyezkedõ fogazat elengedhetetlen. Ennek nemcsak számos esztétikai elõnye van, hanem a fogszabályozás segítségével a fogak "élettartama" is meghosszabbodik.

Mikor kell elkezdeni a fogszabályozó kezelést?

Általánosságban elmondható, hogy a fogszabályozó kezelést akkor a legszerencsésebb elkezdeni, amikor az állcsontok növekedése még folyamatban van. Ennek az az oka, hogy az állcsontok és a fogazat alaki rendellenességei részben fejlõdési és növekedési anomáliák.
Viszont manapság a korszerû fogszabályozási lehetõségeknek és a csont átépülõ-képességének köszönhetõen felnõttkorban is kezelhetõek bizonyos fogazati rendellenességek fogszabályozással.

REFERENCIA MUNKÁK:

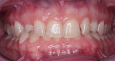
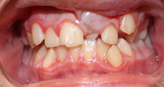
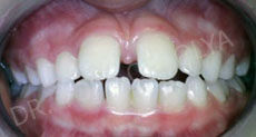
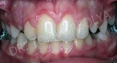
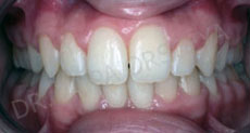
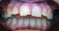
elõtte

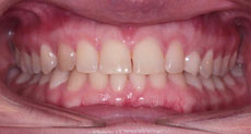
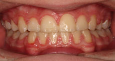
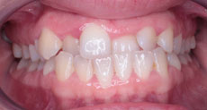
24 hó rögzített készülékes kezelés után

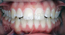
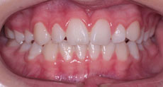
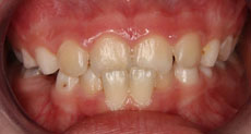
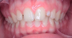
elõtte

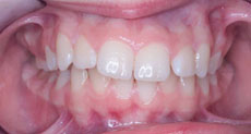
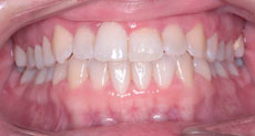
24 hó rögzített készülékes kezelés után

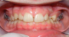
elõtte

18 hó rögzített készülékes kezelés után

elõtte

20 hó rögzített készülékes kezelés után

elõtte

24 hó rögzített készülékes kezelés után

elõtte

24 hó rögzített készülékes kezelés után

elõtte

11 hó rögzített készülékes kezelés után

elõtte

1 év rögzített készülékes kezelés után

elõtte

8 hó kiveheto készülékes kezelés után

elõtte

2 év kiveheto készülékes kezelés után

elõtte

2 év rögzített készülékes kezelés után

elõtte

18 hó rögzített készülékes kezelés után

elõtte

10 hó rögzített készülékes kezelés után

elõtte

18 hó kivehetõ készülékes kezelés után

elõtte

12 hó kivehetõ készülékes kezelés után
© 2008 TopaDental.
Minden jog fenntartva
Fõoldal | Rendelõink | Orvosaink | Szolgáltatások | Egészségpénztár | Jótanácsok